La Dra. María Begoña Miguel Martínez participó en el XIII Congreso Regional de Medicina Nuclear de Castilla y León, celebrado en Burgos el 18 de abril de 2026, con la ponencia De la cirugía radioguiada en general, al ROLLIS en particular. La intervención se centró en la evolución de estas técnicas y en su aplicación real en un servicio con experiencia consolidada. Su interés radicó, además, en partir de una trayectoria asistencial propia desarrollada en el Hospital Universitario de Burgos y en mostrar resultados acumulados en una línea de trabajo con impacto claro, especialmente en patología mamaria.
De la cirugía radioguiada general a su aplicación en cáncer de mama
La ponencia recorrió la cirugía radioguiada desde sus bases generales hasta su evolución más reciente en cáncer de mama. La Dra. Miguel Martínez abordó procedimientos como la biopsia selectiva del ganglio centinela, la localización del tumor primario, la disección axilar dirigida, la resección tumoral R0 y la resección de oligometástasis, situando cada uno de ellos dentro de un marco asistencial en el que la Medicina Nuclear participa de forma directa en la planificación, localización y apoyo intraoperatorio de estos procedimientos.
El eje central de la ponencia fue la técnica ROLLIS, presentada con detalle tanto en mama como en axila. La exposición repasó su protocolo completo, desde la inserción de la semilla de 125I hasta su retirada posterior en Medicina Nuclear, y lo hizo desde una perspectiva vinculada a la práctica asistencial. Ese planteamiento resulta especialmente útil porque no se limita a describir una técnica, sino que muestra cómo se integra en circuitos reales, qué exige en términos de coordinación y qué ventajas aporta cuando el servicio dispone de experiencia y estructura para desarrollarla.

Una experiencia consolidada con volumen asistencial relevante
En la ponencia se expusieron además los resultados acumulados entre noviembre de 2019 y marzo de 2026, periodo en el que se implantaron 1.473 semillas en 1.111 pacientes, con más del 80 % de los procedimientos realizados en patología mamaria. Son cifras que no hablan de una experiencia puntual ni de una incorporación testimonial, sino de una línea asistencial ya asentada en la actividad del servicio.
Las cifras presentadas durante la ponencia permiten situar con claridad la dimensión asistencial alcanzada por esta línea de trabajo. La utilidad de estas técnicas no se mide solo por su interés metodológico, sino también por su capacidad de incorporarse a la práctica y beneficiar a un número amplio de pacientes. En este caso, la experiencia presentada muestra la consolidación de una línea de trabajo que ha permitido aplicar la cirugía radioguiada a un volumen muy significativo de mujeres con cáncer de mama, dentro de un modelo basado en precisión, coordinación entre especialidades y continuidad asistencial.

Durante la exposición se subrayó, además, que ROLLIS presenta altas tasas de resección completa, reducción de tiempos quirúrgicos y menor coste frente a otras técnicas de localización de lesiones no palpables, lo que refuerza su interés en centros con disponibilidad de Medicina Nuclear. Más allá de la comparación técnica, la ponencia mostró una experiencia real de implantación, con resultados propios y con una base asistencial suficientemente amplia como para extraer conclusiones útiles para otros equipos.
Apertura a nuevos escenarios: cirugía radioguiada con isótopos PET
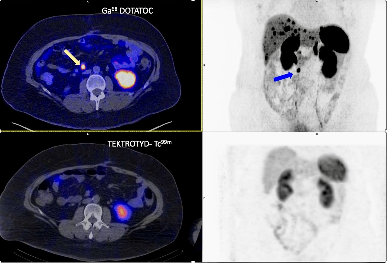
La ponencia no se limitó al terreno mamario. En su parte final, la Dra. Miguel Martínez expuso con especial interés la realización de una cirugía radioguiada con isótopo PET, concretamente con Ga68-DOTATOC, en una paciente con un único implante mesentérico de la misma estirpe tumoral que el primario ya resecado en íleon, correspondiente a un tumor neuroendocrino G1. En este procedimiento se utilizó además una sonda DROP-IN, es decir, la sonda flexible laparoscópica, lo que añade un componente técnico especialmente relevante al caso.
La relevancia de este ejemplo no está solo en el uso del radiotrazador, sino en el contexto clínico en el que se planteó la intervención. La paciente presentaba metástasis hepáticas estables desde hacía más de seis meses y se estaba valorando la posibilidad de trasplante hepático si el PET/TAC de control con Ga68 no mostraba enfermedad extrahepática adicional. Esa combinación entre imagen molecular, selección de pacientes y apoyo a decisiones terapéuticas complejas amplía el alcance de la ponencia y muestra que la cirugía radioguiada puede desempeñar un papel relevante también fuera de sus escenarios más clásicos.

Miembro del Grupo de Cirugía Radioguiada, jefa de Servicio de Medicina Nuclear del Hospital Universitario de Burgos, y presidenta de la Asociación Castellano Leonesa de Medicina Nuclear, la Dra. María Begoña Miguel Martínez presentó en estas jornadas una experiencia con resultados propios, continuidad asistencial y capacidad para trasladar a la práctica procedimientos que exigen coordinación técnica, conocimiento metodológico y trabajo multidisciplinar. El contenido de la ponencia permitió mostrar no solo el recorrido alcanzado en la implantación de ROLLIS y otras técnicas radioguiadas, sino también la proyección de este campo en escenarios cada vez más complejos, dentro de una Medicina Nuclear cada vez más vinculada a la precisión quirúrgica.
