Los dos primeros casos de ROLL pulmonar en el Hospital 12 de Octubre. ¡Enhorabuena!

hace 2 años

Desde el GT de Cirugía Radioguiada queremos dar la enhorabuena al Hospital 12 de Octubre de Madrid por sus dos primeros casos de ROLL pulmonar, ambos exitosos.

Este es el equipo multidisciplinar que lo ha hecho posible:

Radiodiagnóstico: Dra. Mª Rosa Calero García
Medicina Nuclear: Dra. Diana Vega Pérez y Dr. Sebastián Ruiz Solís
Cirugía de Tórax: Dr. Iván Martínez Serna. Dr. Jose Luis Campo Cañaveral de la Cruz

 


 

A continuación, os enseñamos los detalles de los casos clínicos y algunas imágenes interesantes:

 

CASO 1: Mujer de 51 años. Nódulo subsólido de 10 mm en LSD detectado como hallazgo casual TC cervical, de lento crecimiento desde 2021.

Imagen TC (arriba izq.), SPECT/TC (abajo izq.) y SPECT (derecha).

 

 

 

 

 

 

 

 

 

 

 

 

Acto quirurgico. A la derecha, imagen tomada con gammacámara portátil de la pieza quirúrgica de segmentectomía S1 del LSD, que confirma la presencia del radiofármaco depositado en el nódulo pulmonar.

 

 

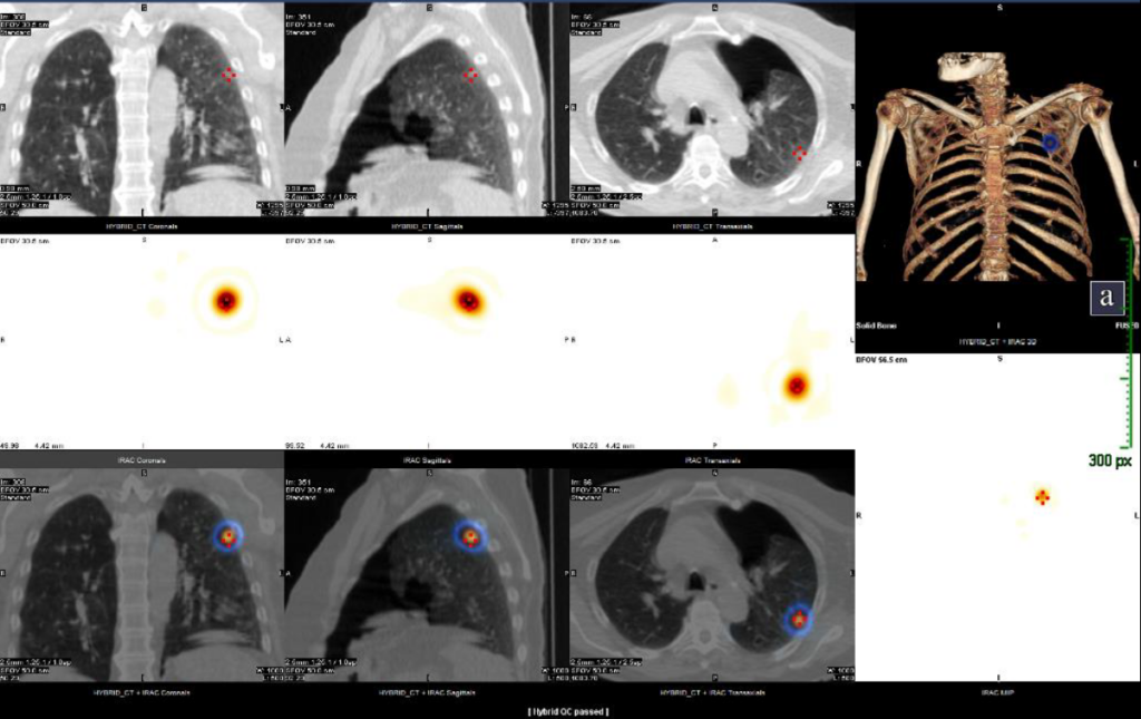
CASO 2: Hombre de 70 años. En TC torácico de enero de 2024 se observa una opacidad en vidrio deslustrado en LSI, sugestiva de adenocarcinoma. La lesión no muestra hipermetabolismo en [18F]-FDG, tampoco en otras localizaciones.

Imágenes TC (fila superior), SPECT (fila central) y SPECT/TC (fila inferior), y reconstrucción 3D del TC en ventana hueso fusionada con el SPECT (arriba derecha).

 

 

 

 

 

 

 

 

Imagen tomada con gammacámara portátil de la pieza quirúrgica de segmentectomía amplia.

En este segundo caso, la AP es de lesión probablemente premaligna, con márgenes libres a la línea de grapas de 1,5 cm.

Busca en SEMNIM